
At Sharon L. Albright, we believe a radiant smile can enhance your life, and we're dedicated to helping you achieve that with personalized care. Led by Dr. Sharon Albright, our Oakland dental office offers comprehensive services in a warm, stress-free environment. Whether you're here for routine preventive care, restorative treatments like crowns and bridges, or cosmetic procedures such as veneers and teeth whitening, we use advanced technology to ensure the best results. Our team is passionate about educating you on your oral health, empowering you to make informed decisions about your care. Conveniently located in Oakland, we strive to make every visit efficient, relaxing, and pleasant, addressing any concerns along the way.




I absolutely love Sharon L Albright D.D.S.! The whole team is warm, professional, and truly cares about their patients. Dr. Albright is gentle, thorough, and always takes the time to explain everything clearly. Even though they’re no longer in my insurance network, I still choose to come here because the quality of care and comfort they provide are unbeatable. I always leave feeling well cared for. Highly recommend!
Wonderful experience all around! From the receptionist, to the assistant, the hygienist, and Dr Albright, everyone was treating me with respect and patience, made me feel comfortable and welcomed. They took their time explaining everything that was going on, and the care I needed for the next steps. I've been to many dentists in my life as I moved a lot, and I have to say, my visit with them was the most thorough to date. I feel comfortable recommending them to my family and friends. I highly recommend this Dental office.
I had my first appointment at Dr. Sharon L. Albright’s office in Oakland, and I couldn’t be more pleased with my experience! I’ve been putting off a dental visit for a while due to anxiety, especially about one tooth in particular that had me worried. From the moment I walked in, I felt at ease, and the entire team was so patient, kind, and non-judgmental. Amy, the receptionist, greeted me with a warm smile and made the check-in process a breeze. I could tell right away this office was different—everyone was so welcoming and genuinely cared about my comfort. Lu, the hygienist, was incredibly gentle and took the time to explain everything she was doing. I’ve never had a cleaning that was so thorough yet painless! Savannah, the dental hygienist, was also amazing—very attentive and made sure I was comfortable every step of the way. I loved seeing how many women of color are part of this team. It made me feel even more empowered and confident in my decision to choose this office. It’s refreshing to find a dental practice that not only provides exceptional care but also promotes diversity and inclusion. I’m definitely making Dr. Albright’s office my go-to dental practice for the long-term. I highly recommend this office to anyone—whether you’re looking for a dentist for yourself or your whole family, you won’t regret it. They truly made my visit stress-free and enjoyable
This review is long overdue. I’ve been going to Dr. Albright for years. Conveniently located in North Oakland they have always been very professional and friendly. Today’s cleaning was a breeze! Highly recommended!
I'm not one to post about dentists, but I feel compelled to shout out Dr. Albright's office. She was the first dentist to ask me about my oral hygiene goals, which started us off on a very positive and goal-oriented path. And I can tell she and her office still stay true to those goals after 5+ years, which I really appreciate. Additionally, their advice for healthier flossing/brushing is extremely helpful. I love the office so much that I still come back here for my teeth even after moving much further away!
Dr. Allbright is the most knowledgeable, compassionate Dentist, I’ve ever seen. She’s very thorough and talk things through so that you know exactly what the procedures will be. I had a complicated situation that she handled very professionally. I highly recommend her. Totally recommend Arverne Dental.

Healthy teeth help us eat, speak, maintain the shape of our faces and enhance our appearance.

Healthy gums are key to a healthy mouth and much, much more!

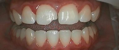
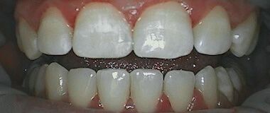
A smile makeover can transform discolored, broken, missing and worn down teeth into a gorgeous smile.
The best way to ensure your smile stays healthy and beautiful is to catch potential health issues as soon as possible. Our comprehensive dental exams are designed to do exactly that. Our expert team will inspect your full mouth to detect early signs of trouble. We can catch issues like cavities, gum disease, and oral cancer fast to protect your smile from long-term damage.
The best way to ensure your smile stays healthy and beautiful is to catch potential health issues as soon as possible. Our comprehensive dental exams are designed to do exactly that. Our expert team will inspect your full mouth to detect early signs of trouble. We can catch issues like cavities, gum disease, and oral cancer fast to protect your smile from long-term damage.
To keep your teeth looking and feeling great, we provide thorough cleanings to get rid of plaque and tartar buildup in hard-to-reach areas. This is a simple and effective way to lower your risk of developing gum disease and tooth decay. All you have to do is relax, and our team will take care of your smile!
Discover the difference in personalized care with Sharon L. Albright, D.D.S., Inc. We are committed to helping you achieve optimal oral health, whether it's through routine dental procedures or advanced surgery. Book your appointment now and discover why so many families trust us to care for their smiles in Oakland, CA. We can help you maintain a lifetime of radiant, healthy smiles.
And when you visit us routinely, we can track any changes in your oral health to better catch and handle problems before they become costly or painful. Call Sharon L. Albright D.D.S., Inc. at (510) 658-1996 to schedule your appointment today, and take the first step toward a healthier, stronger, and dazzling smile!

Dentist / Founder

Registered Dental Hygienist

Office Manager

Dentist / Founder

Receptionist

Registered Dental Assistant
We provide comprehensive dental care, including professional cleanings, general exams, fillings, crowns, bridges, gum care, tooth extractions, and preventive treatments for patients of all ages.
We recommend a professional cleaning every six months to keep your teeth and gums healthy and to catch any potential issues early.
Yes. We handle tooth pain, broken or chipped teeth, infections, and any urgent dental issue that requires immediate attention. Just give us a call right away.
Yes, we work with most dental insurance plans and help you understand your coverage so you can get the most out of your benefits.
No. Your comfort is our priority. We use modern techniques and a gentle approach to make every procedure as comfortable as possible.
Absolutely. We welcome patients of all ages and love helping children have positive, stress-free dental visits.
Brush twice a day, floss daily, limit sugary foods, and keep up with your regular dental visits. These simple habits go a long way.
You can call us at (510) 726-4993 or book your appointment online. We’re here to help you achieve a healthier, stronger, and brighter smile.